





Cedido By Copyright © 2021. Ediciones de Salud, Nutrición y Bienestar, SL
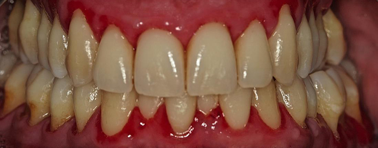
El riesgo desconocido de esta enfermedad de las encías y cómo vencerlo.
Si sufre enfermedad de las encías, corre el riesgo de sufrir también:
- Enfermedad del corazón.
- Infarto.
- Demencia.
- Diabetes.
Pero hay algo que rara vez aparece en la lista… aunque debería.
Porque son dos de las peores condiciones que enfrentan las personas, especialmente las personas mayores.
Siga leyendo para descubrir por qué saltarse la higiene dental podría ponerle en riesgo.
Además, le explicaré una manera de VENCER la enfermedad de las encías de una vez por todas.
¿La enfermedad de las encías causa cáncer?
Los cánceres, específicamente el cáncer de esófago y el cáncer gástrico, están relacionados con la enfermedad de las encías y merecen mucha más atención de la que reciben.
En un nuevo estudio publicado en la revista Gut, los investigadores analizaron los datos de casi 150.000 personas y encontraron que el riesgo de estas enfermedades mortales se disparaba en las personas que padecían enfermedad de las encías.
Después de 30 años de seguimiento de los participantes, hubo 199 casos de cáncer de esófago y 238 casos de cáncer gástrico.
Los investigadores descubrieron que aquellos con antecedentes de enfermedad de las encías tenían un 43% más de riesgo de cáncer de esófago y un 52% más de riesgo de cáncer gástrico.
Además, quienes habían perdido dos o más dientes tenían un 42% y un 33% más de riesgo de cáncer de esófago y estómago.
Aunque pueda parecer a primera vista chocante, es la realidad y no es ninguna sorpresa. Una higiene dental adecuada es vital para su salud y bienestar.
En España, 8 millones de adultos presentan enfermedad de las encías, de los cuales 2 millones tienen una periodontitis severa. Si usted es uno de ellos, aquí hay algunos pasos simples que puede dar para reducir el riesgo de estos dos cánceres mortales:
- Visite regularmente a su dentista.
- Cepíllese y use hilo dental después de cada comida.
- Siga una dieta saludable.
- Deje los cigarrillos y beba con moderación.
Todo esto podría ayudar a reducir los niveles de bacterias dañinas que se adhieren a sus dientes.
Por cierto, el cáncer no es el ÚNICO riesgo que acarrea enfermedad de las encías. Haga clic aquí para descubrir cómo la enfermedad de las encías podría DESTRUIR su vida sexual.

Pregúntanos todas tus dudas y solicítanos Oferta de tu Seguro de Salud.
(Ofertas SIN COMPROMISO de contratación y SIN COSTE)

Comparte esto:
- Compartir en X (Se abre en una ventana nueva) X
- Comparte en Facebook (Se abre en una ventana nueva) Facebook
- Compartir en LinkedIn (Se abre en una ventana nueva) LinkedIn
- Haz clic en Pinterest (Se abre en una ventana nueva) Pinterest
- Compartir en Tumblr (Se abre en una ventana nueva) Tumblr
- Compartir en WhatsApp (Se abre en una ventana nueva) WhatsApp
- Compartir en Telegram (Se abre en una ventana nueva) Telegram
- Enviar un enlace a un amigo por correo electrónico (Se abre en una ventana nueva) Correo electrónico
- Imprimir (Se abre en una ventana nueva) Imprimir